成功率を向上させる「精密根管治療」
他院で抜歯を宣告されてしまった方
まだ、諦めないでください。
☑視野を拡大させる「高倍率ルーペ」
☑隠れた病巣を発見する「CT装置」
☑複雑な根管にも届く「ステンレスファイル」

☑視野を拡大させる「高倍率ルーペ」
☑隠れた病巣を発見する「CT装置」
☑複雑な根管にも届く「ステンレスファイル」
根管治療は繰り返すほどに歯の生存率を下げてしまいます。他院で根管治療を経験され、痛みが再発してしまった方は、ぜひ私たちにご相談ください。当院の根管治療では「再発の防止」に重きを置いています。テーマは「精密治療」です。
| 根管治療の 精度 | 被せ物の種類 | 成功率 | |
|---|---|---|---|
| パターン① | 高い | 自費 | 91.4% |
| パターン② | 中度 | 自費 | 67.6% |
| パターン③ | 高い | 保険 | 44.1% |
| パターン④ | 低い | 保険 | 18.1% |

上記のデータは、医療大国であるアメリカによるものです。精密な根管治療と被せ物が成功率に関わっていることを示しています。
歯の被せ物は患者さん一人ひとり選択の自由がありますが、いずれにせよ、精密な治療が再発リスクを軽減し、成功率を高めることは事実です。
以下では、私たちがどのようにして「精密治療」を実践しているのかについて詳しくご説明します。






根管治療の精度で他院と差がつくのは、精密治療を実現する「設備体制」です。技術も大切ですが、設備の充実度によって治療の成功率は大きく変わります。

「高倍率ルーペ」は、治療中の視野を何倍にも拡大できる装置です。直径わずか0.1~0.2ミリの歯の根を治療するためには必要不可欠です。以下の画像は、ルーペと肉眼の視野を比較したものです。肉眼はもちろんのこと、通常のルーペでは見えないレベルであることがおわかりいただけるかと思います。


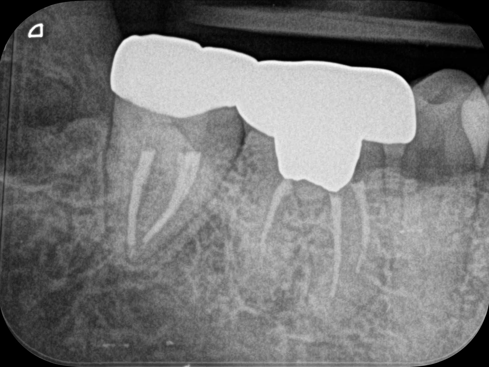
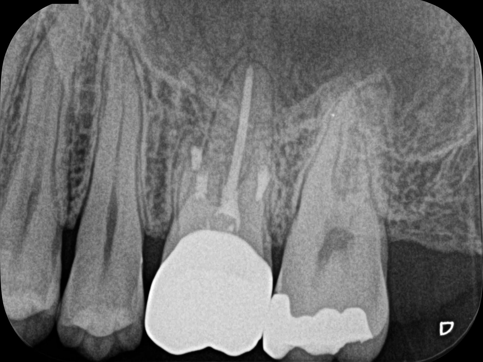
以下が実際に当院で処置した症例です。根管治療で痛みが再発する原因は、細菌が引き起こす炎症です。増殖した細菌が根の先まで進行し、膿がたまります(根尖病巣)。治療後は黒い影がなくなっていることがわかります。


また、治療精度が向上することで、結果的に患者さんの来院回数を減らすことも可能です。

「CT」は画像診断装置の一種です。3次元的(立体的)に治療部位を撮影できるため、血管や神経の位置関係など、通常のレントゲンでは得られない情報も得ることができます。


上記の画像は、CT(左)とレントゲン(右)の比較です。丸をつけている箇所が病巣なのですが、レントゲンだと発見できないことがおわかりいただけるかと思います。

根管を掃除する“細長いヤスリ”のような道具を「ファイル」といいます。
当院では「ステンレスファイル」を使用しています。このファイルは細くて硬い性質があり、歯根の先端までしっかり貫通させることができます。
難しい根管治療の症例もおまかせください。すべての症例に行えるわけではありませんが、ケースによっては「歯根端切除術」という外科手術で対応します。歯根端切除術とは、感染した歯の根の先端部を切除して再発を防ぐ方法です。

歯根端切除術は非常に高い技術が求められるため、対応できる歯科医院は決して多くはありません。「他院で抜歯を宣告された」という方は、諦めずにご相談ください。
根管治療後は、空洞になった部分に「コア」という土台を挿入します。コアは歯の根の強度を高めるために必要なものです。どんなコアを使うかによって歯の寿命は大きく変わります。当院では審美性・耐久性に優れた「ファイバーコア」にこだわっています。
ファイバーコアは「ファイバーポスト補強型レジンコア」と呼ばれ、正式に厚生労働省に認められている優れた素材です。天然の歯のような色合いとしなやかさを兼ね備えており、現在ではコア素材の定番になりつつあります。





上の画像は、ファイバーコア(左)と金属コア(右)の裏側から光を当てた様子です。金属コアは光を透過できないため、黒ずんで見えます。一方で光を透過するファイバーコアには、自然な白さと透明感があります。

従来の金属コアは、衝撃にもろいという弱点があります。ファイバーコアは「しなる」性質があるため、外から強い負荷が加わっても、衝撃を吸収することができます。
根管治療は、再発される方が多く、治療を繰り返すほどに成功率が下がっていくといわれています。そのため、歯科医師の技術とそれをサポートする設備が重要となってきます。治療をまかせる歯科医院を選ぶ際は、慎重にお選びください。もしも他院での根管治療に納得がいっていないという方は一度お気軽にご相談ください。

当院では、患者さんが抱えていらっしゃるお口のお悩みや疑問・不安などにお応えする機会を設けております。どんなことでも構いませんので、私たちにお話ししていただけたらと思います。
ご興味がある方は下記からお問い合わせください。
